Contents
REVIEW ARTICLEVolume 339, Issue 1P8-14April 15, 2014
Survival from rabies encephalitis
Aaron de Souzaa adesouza1@gmail.com ∙ Shampur Narayan Madhusudanab
关键词:
狂犬病
生存率
人狂犬病免疫球蛋白
纯化鸡胚疫苗
相对效价指数试验(RFFIT)
摘要
狂犬病是亚洲和非洲的主要公共卫生问题,每年导致近6万人死亡,并带来巨大的经济负担。神经学家经常遇到非典型病例,需要就诊断和管理做出明智的决策。迄今为止,还没有任何疗法被证明能明确提高狂犬病的生存率。尽管该病具有压倒性的致命性,但仍有一些患者被报告在经历急性狂犬病脑炎后存活下来,且伴有不同程度的神经系统后遗症。本文介绍了第11例有记录的狂犬病生存病例,该患者在被流浪狗咬伤后发病,尽管留下了严重的神经系统后遗症。与之前报告的患者一样,这名男子表现出强劲的免疫反应,表现为外周病毒的清除以及血清和脑脊液抗体滴度非常高。因此,免疫介导的病毒清除似乎是生存的必要条件。对先前报告的幸存者的详细回顾,以及人类狂犬病中宿主反应和病毒清除的描述、目前对此病的治疗及在改善当前令人沮丧的预后方面的未来方向。
1. 引言
狂犬病自古就为人类所知:亚里士多德对该病的描述标志着它在古希腊罗马时期的认识。然而,在印度,这种病在许多世纪前就已经为人所知了,古代吠陀医学文本中有关于恐水症以及动物狂犬病的生动描述[1]。这是一种急性、快速进展的脑脊髓炎,由于其极高的病死率(任何传染病的最高之一),几个世纪以来一直令人恐惧。狂犬病发生在除南极洲外的所有大陆上,是一种病毒性的人畜共患病,许多食肉动物和蝙蝠物种是其自然的宿主。由于人类无法根除存在于狗、狐狸、浣熊、臭鼬和蝙蝠等多种动物中的病毒库,狂犬病得以持续存在。狂犬病在发展中国家广泛流行,据估计,在印度每10万人中有1.1人死于狂犬病,实际发病率被严重低估[2]。发达国家偶尔会出现本地或输入性的人类狂犬病例。特别是在发展中国家,神经学家在未来许多年都可能遇到非典型的和瘫痪形式的狂犬病脑炎病例。尽管我们对狂犬病发病机制的理解有所增加,但它仍然是一种致死性疾病,一旦出现神经症状,无论是狂暴型还是瘫痪型,都被认为是必然致命的[3-11]。
然而,长久以来人们普遍认为,狂犬病感染在许多年内都是致死性的,无论是狂暴型还是瘫痪型。尽管我们对狂犬病发病机制的理解有所增加,它仍然是一种致死性疾病,对于临床狂犬病患者来说是这样。自1972年以来,至少有十位患者被报告在患上狂犬病脑炎后存活下来,并伴有不同程度的神经系统后遗症[8,12-20]。这个数字需要与每年全球发生的近60,000例狂犬病死亡人数进行对比——主要发生在亚洲和非洲,印度有30,000人死亡,非洲有16,000人死亡[6,19,21-27]。这少数人之所以能够存活下来,急性病发时的原因仍是一个争论的话题。本文介绍了一位在遭到流浪狗咬伤后患上狂犬病脑炎并存活下来的患者,尽管留下了严重的神经系统后遗症。文中还回顾了当前关于宿主反应和病毒清除的概念,并讨论了之前有关狂犬病脑炎存活的报告以及针对这一可怕疾病发展有效治疗策略的可能方向。
2. 病例报告
一位来自印度果阿的17岁男性患者于2011年4月入住我们的中心,他有九天尿急、排尿困难以及排尿启动困难的历史。在随后的一个星期里,他出现了姿势性头晕和便秘,逐渐发展为眩晕、言语不清、吞咽困难、肢体运动笨拙以及在行走时明显不稳定。他已经出现呕吐、头痛、畏光和间歇性发热(华氏102-103度)一周。患者在入院前22天被一只流浪狗咬伤了左小腿。他最初没有报告咬伤情况,直到三天后才开始使用精制鸡胚细胞疫苗进行狂犬病暴露后预防,且没有进行局部伤口处理。在被咬后的第十天,他感觉到被咬部位有刺痛感。就诊时,他已经接种了四剂疫苗(咬伤后第3、6、10和17天),并在出现神经系统症状的前一天,即就诊前一天,接受了肌肉注射20IU/公斤剂量的人狂犬病免疫球蛋白(hRIG)。体检发现严重的直立性低血压。患者嗜睡但易被唤醒,表现为构音障碍、眼球运动迟缓、轴性和附加肌群共济失调、双下肢无力且反射消失,以及足底伸展反射。未见恐水或恐声表现。诊断为快速进展型脑干脑炎伴有自主神经功能障碍,狂犬病是强烈的诊断可能性之一。
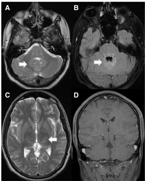
三天后,患者的病情恶化,对外部刺激反应差,瞳孔散大且对光线反应迟钝,任何肢体均无活动。不久后陷入昏迷,出现扩张而无反应的瞳孔、反射消失,并对疼痛刺激出现去大脑强直反应。入院后四天进行的脑部磁共振成像(MRI)扫描显示,在丘脑、脑桥和小脑的FLAIR和T2加权图像上有非增强的高信号(见图1)。腰椎穿刺结果如表1所示。在班加罗尔的国立心理健康与神经科学研究所神经病毒学部门的国家参考实验室,通过快速荧光灶抑制试验(RFFIT)检测到患者血清中的狂犬病病毒中和抗体滴度>1:16,000,脑脊液中的滴度>1:8000,这些结果是在病程的第34天获得的。随后对同一脑脊液样本进行了重复检测,结果呈阳性,滴度为1:130,000。由于后勤原因,未能对后续的脑脊液样本进行重复检测。
患者的治疗内科医生开具了静脉注射阿昔洛韦和抗生素,持续用药15天。由于最初也考虑了疫苗诱导的脱髓鞘的可能诊断(在RFFIT结果出来之前),因此在病程的第14天开始给予了口服强的松龙(每天1克,连续五天)以及随后的逐渐减少剂量的口服强的松龙,并在重症监护室提供支持性护理。在家属的要求下,患者在病程的第39天被转至另一家中心,在那里进行了颈项皮肤活检和角膜印片染色:两者均未检出狂犬病病毒。患者昏迷了三个月,之后逐渐好转。病程的第60天恢复了脑干反射(瞳孔、眼心反射)。未再进行进一步的神经影像学检查。随后,患者出院回家,带有胃造口喂食。

气管切开术(已进行原位手术)。患者意识清醒但无法言语,对疼痛刺激有皱眉反应,出现松弛性无反射四肢瘫痪。尽管恢复情况微小,但过去一年他的神经状况一直稳定。
3. 宿主对狂犬病病毒感染的反应
狂犬病病毒属于狂犬病毒科的拉沙病毒属。犬狂犬病病毒通过结合突触后尼古丁型乙酰胆碱受体,在深度咬伤后感染肌肉中的运动终板[11,28]。不会出现病毒血症[7,29]。在受感染肌肉中低速率复制一段时间后,病毒进入供应该肌肉的神经,一旦运动神经中的病毒传输开始,大约三周内就会出现死亡[3,11]。病毒通过逆向中心向心神经元转移的方式,在临床症状出现数天前进入中枢神经系统,并且会发生广泛而快速的增殖,MRI异常和肌电图上的去神经现象表明亚临床的前角细胞功能障碍[3,11]。海马体、下丘脑和边缘系统的受累可以解释典型的戏剧性临床特征[3]。中枢神经系统向皮肤、肌梭、免疫器官和内脏通过感觉神经的离心(顺行)扩散发生较晚[11],可能是狂犬病中所见自主神经功能障碍的原因,而不是脊髓或脊柱旁自主神经中心的感染[30]。狂暴型和瘫痪型狂犬病都表现出病毒抗原的尾至头极性,尽管狂暴型的特征是在大脑皮层中有更高的病毒抗原负荷,而瘫痪型狂犬病则在脑干产生相对明显的炎症反应[7,11,31]。因此,脑干炎症可能会阻碍病毒向大脑皮层的传播,导致瘫痪型狂犬病患者的存活时间更长[11]。缺陷性的神经递质功能和氧化损伤可能在最终致命结果中发挥重要作用[32,33]。在实验感染中,神经元……连续腰椎穿刺的结果。
凋亡而非坏死是常见的,尤其是在用固定毒株进行脑内接种时。然而,野生型狂犬病毒感染与显著的凋亡无关[34,35]。
狂犬病的发病机制复杂,从典型的生产性、高度神经趋向性的概念到流产感染和病毒清除模型[5]。需要彻底了解神经病理学机制,以制定有效的治疗策略。尽管病毒复制广泛,但死于狂犬病的人脑中相对缺乏神经元丧失和高度变化的炎症反应,这暗示存在防止宿主细胞代谢严重受损的机制,同时允许病毒复制,并逃避先天性和适应性宿主免疫反应,否则这些反应会促进血脑屏障渗透性的变化,并与病毒进展作斗争。维持神经元功能对病毒存活的重要性可能不亚于逃避宿主免疫反应。通过野生型毒株防止凋亡的能力,通过维持病毒基因表达低于阈值水平,通过干扰促凋亡因子,以及通过诱导T细胞的凋亡,确保感染神经元的存活[3,7,11,21,36]。在感染期间,狂犬病毒主要存在于神经元内,因此抗原可能被免疫监视所隐藏。在感染病灶处的免疫识别可能不够充分:自然获得的感染未能充分激活树突状细胞。低滴度接种物中狂犬病病毒糖蛋白的不足也可能导致延迟:在感染人类中,通常在病程的第二周之前不会检测到抗体反应,并且往往直到症状出现后才检测到[6,11,27]。此外,尽管动物模型的研究表明,感染高致病性狂犬病病毒变种会触发先天免疫反应,但免疫效应细胞渗透进入中枢神经系统存在缺陷[27,37],因此自然病程中狂犬病病毒感染的中枢神经系统中的病毒清除通常不会发生。因此,尽管在外周神经系统保持活跃的情况下,狂犬病会引起强烈的免疫反应[27,38],但如果这种反应发展得太晚而无法阻止病毒到达中枢神经系统组织,则预后可能不佳。自然感染中免疫发展的较晚似乎对病毒清除并无大碍,因为在脑中仅观察到轻微的血管周围单核细胞浸润[35]。
偶尔有狂犬病患者能够对自然感染产生适当的反应并从中枢神经系统中清除病毒。这可能是我们患者和其他一些患者存活的原因之一(表2)。病毒基因组中的点突变影响糖蛋白或核蛋白基因可能会增强或减弱免疫逃避和致病性[11]。许多用于动物疫苗接种的减毒毒株,例如CVS-F3,能够进入实验感染小鼠的大脑,但清除时没有任何明显的疾病临床症状。在这些小鼠中已证实有大量的免疫效应细胞渗透[40],表明病原性狂犬病病毒控制着先天免疫机制。这可能通过阻断先天感染感受器的激活,如内吞膜上的Toll样受体,并将它们隔离在Negri小体中,从而防止感染神经元的凋亡[11,41]。阻止干扰素基因转录、抑制干扰素信号传导或通过I型干扰素阻断蛋白质激活,可以将保护性免疫反应从偏向T辅助细胞1型(TH1)转变为较少神经侵袭性的TH2表型[11,27]。减毒狂犬病毒的清除与神经血管功能变化有关,这些变化促进中枢神经系统组织与它们产生的化学趋化物以及循环免疫效应器之间的接触,导致免疫细胞渗透进入中枢神经系统并在脊髓内产生中和抗体[42,43]。相比之下,血脑屏障在野生型狂犬病感染的晚期之前保持相对完整,因为MRI研究直到患者昏迷后才显示钆增强[44],而且通常在脑脊液中找不到中和抗体,特别是在犬类狂犬病患者中[45]。不同的病毒变种会引起不同程度的细胞因子或趋化因子分泌,这会影响中枢神经系统内炎症的发展水平,并可能解释在瘫痪型狂犬病中观察到的更大炎症和更低的病毒载量。先前有报道称免疫激活在狂犬病狂暴型的发病机制中起作用[46-49],但这并未得到证实:实际上,狂犬病狂暴型与极轻微的炎症和高病毒载量相关联[11,31,50]。
4. 诊断
上述患者代表了从狂犬病脑炎中存活的第11个有记录案例。狂犬病的诊断基于暴露史、一致的临床综合征和影像学发现,以及在血清和脑脊液(CSF)中检测到高滴度且与疫苗接种不相容的狂犬病毒特异性抗体。
与狗或蝙蝠变种相关的人类狂犬病导致MRI异常,表现为脑干、丘脑、下丘脑、海马体和基底神经节、皮层下和深部白质以及脊髓前角的定义不明确的T2加权高信号:这些可能是由于病毒引起的神经元损伤所致[3,4,11,31,44,51](图1)。钆对比剂增强的病变(提示血脑屏障破坏)仅在狂犬病患者昏迷时出现,或在组织移植后感染的患者中出现[7,11]。
通过病毒分离或展示病毒抗原或病毒核糖核酸(RNA)可以获得特定诊断。可以使用各种样本(血清、唾液、脑脊液、从颈部取带有毛囊的皮肤活检、角膜印片以及脑活检),并且有多种方法可用:逆转录聚合酶链反应、基于核酸序列的扩增、免疫荧光、病毒中和试验以及在细胞培养或动物中分离病毒。在疾病的早期阶段,结果可能为阴性,可能需要多次进行测试。分子技术最有用,但组织或液体的体积可能对足够的灵敏度至关重要[3,4,7,11]。通过荧光抗体技术或免疫组化在角膜或颈部毛囊处展示狂犬病病毒抗原,尽管具有特异性,但已证明只有25-50%的灵敏度[3,7,18,52,53]。在麻痹型中,病毒抗原检测测试更常呈阴性[11]。在人类和动物的临床液体中,狂犬病病毒可能存在或水平极低,此类样本不能明确排除狂犬病[54]。从唾液和脑脊液中检测抗原受患者抗体状态的影响。由于中和抗体有助于清除病毒感染,当这些抗体以高滴度存在时,抗原检测测试通常无助于益[3]。这可能解释了我们的患者中抗原检测测试呈阴性的原因。
中和抗体的检测是另一种诊断方法,可以通过两种方法之一进行:小鼠中和试验和体外中和实验[3]。通过血清中和试验检测到对特定病毒抗原的高滴度中和抗体,对于无先前免疫接种史的脑炎患者具有诊断意义。尽管我们的患者没有显示出抗体滴度的升高,但在任何细胞培养狂犬病疫苗接种后从未报告过如此高的中和抗体滴度,强烈提示狂犬病[3]。人狂犬病免疫球蛋白的接种不太可能影响脑脊液中的抗体水平。在我们的患者中,RFFIT(快速荧光抑制试验)是在接种人狂犬病免疫球蛋白后一个多月进行的,无论如何它不会像上文详细说明的那样穿过血脑屏障。
狂犬病的治疗:当前状况与未来方向
来自泰国和印度的报告表明,在患有犬狂犬病的患者出现神经系统症状后,存活时间约为5-11天[55,56]。接受重症监护支持的患者存活时间可延长至1个月或更长[57,58]。一旦患者出现临床狂犬病,目前尚无有效治疗方法可用,且对于未在接受暴露后预防(PEP)治疗前就出现疾病早期迹象的感染个体来说,预后非常不乐观。PEP仅在临床综合征出现之前有效,这表明其通过防止病毒传播至中枢神经系统(CNS)起作用[8,27,38]。人狂犬免疫球蛋白(hRIG)用于提供临时保护,直至疫苗接种后7-14天开始产生抗体。接种开始后超过7天才使用hRIG,因为假设此时已经开始形成保护性免疫反应[3,6]。
对于所有临床狂犬病脑炎患者,应考虑姑息治疗(镇静剂、镇痛药、抗惊厥药和神经肌肉阻断剂)。屏障护理技术至关重要[10]。不应常规考虑提供积极的重症监护。某些可能表明病情较为乐观的因素包括早期就诊、年轻且整体健康状况良好的患者以及充足资源的可用性[10]。如迄今为止报告的幸存者所展现出的强健免疫反应(见下文的表2),也暗示了存活的可能性。然而,
必须在一开始就明确预后不良,以及如同当前案例中一样,即使存在严重残余缺陷也可能存活的可能性。
我们仍然不完全理解人类为何死于狂犬病。神经功能障碍而非细胞死亡似乎是主要因素,但由于缺乏对所涉及机制的清晰了解,治疗策略受限。没有单一的治疗药物在治疗狂犬病脑炎方面可能有效[10,59,60]。基于对其他病毒感染的经验,推荐采用联合疗法,包括肌内注射多克隆或单克隆人狂犬病毒免疫球蛋白(hRIG)、多点皮内疫苗接种、静脉及脑室内给予利巴韦林、静脉注射氯胺酮和干扰素[6,10,59]。大剂量的人狂犬病毒免疫球蛋白(四天至多100克)未能防止死亡,但能够减轻自主神经症状。患者的脑脊液分析未显示抗体存在,这表明被动给予的人狂犬病毒免疫球蛋白不进入中枢神经系统[10,20,27,61-63]。外周病毒的清除证据与病毒从中枢神经系统的真正清除无关[60]。关于HRIG鞘内给药的效果和安全性尚不清楚[10]。鉴于缺乏益处,这种稀缺且昂贵的资源的大量使用值得质疑。
利巴韦林是一种具有免疫调节特性的嘌呤类似物,体外实验显示它能抑制成纤维细胞和神经母细胞瘤细胞株的狂犬病毒活性,但在动物模型中无效[64-66]。通常通过静脉注射给药,观察到该药物在大鼠和恒河猴脑脊液中的吸收有限[67]。然而,对于艾滋病患者,经过几周的口服给药后,观察到脑脊液中出现了显著的利巴韦林水平[68]。通过奥马亚储液器进行的脑室内给药在狂犬病患者中未显示出明显益处[69,70]。干扰素-α是一种自然免疫调节蛋白,也是一种用于病毒和肿瘤疾病的免疫治疗药物,它与抗体以及先天免疫系统的细胞相互作用,帮助向有效的适应性免疫反应过渡[10]。尽管在实验感染猴子的研究中表现出希望,但在使用该药物治疗狂犬病患者时未见益处[69,71]。氯胺酮是一种常用的麻醉药,作用于谷氨酸受体,在高浓度下能在体外抑制狂犬病毒的复制[72]。这些受体可能作为病毒的受体[73],而且已经显示氯胺酮治疗能减少实验感染大鼠的脑感染[74],但对存活率没有影响。该药物已被证明对小鼠实验性狂犬病无效[75]。此外,与阻断谷氨酸受体的浓度相比,氯胺酮的抗病毒效果是在显著更高的浓度下才显现出来的[2,63]。基于其假定的抗兴奋性毒性作用,已提出使用金刚烷胺[76],但这些机制尚未被证实对狂犬病死亡起到作用[59,63]。值得注意的是,尽管基于在小鼠模型中的研究认为皮质类固醇治疗是有害的,因为它缩短了潜伏期并增加了死亡率[10,77],我们的患者和另一名之前报告的拉巴埃斯综合症幸存者[18]接受了静脉注射甲泼尼龙的治疗。类固醇对狂犬病中的脑水肿或心肌炎没有帮助,并且可能会导致血脑屏障关闭,从而减少其他治疗剂的进入[10]。
在一名15岁女孩成功接受治疗狂犬病脑炎之后,密尔沃基协议被提出来用于治疗狂犬病脑炎,该协议涉及使用咪达唑仑、巴比妥类药物、氯胺酮、金刚烷胺、利巴韦林以及诱导昏迷以达到脑电图爆发抑制[8]。该协议基于这样一个假设:纠正“神经递质失衡”和神经保护策略足以维持,直到可以发起自然免疫反应[8]。然而,尽管有几次明显的成功案例[17,19](另一名患者据报道仅存活下来,随后因营养不良而死亡[78]),但在超过25名完全清醒、此前健康、年轻或中年、有症状的狂犬病患者中复制这一壮举的努力均未成功[4,57,79-86]。在上述两名幸存者中,一个没有产生狂犬病毒中和抗体[17],另一个在疾病发作前接种了疫苗[19]。根据由该协议发起人维护的登记资料,迄今为止有5名患者据称使用这种治疗存活下来,共计34个病例使用了该治疗[87],但这一说法尚需独立验证。根据同一登记资料,接受密尔沃基协议治疗的患者的存活时间据说比其他狂犬病患者要长得多[87]。然而,这可能是由于采用了积极的加强护理,并且不一定与病毒清除或防止脑损伤有关,例如一位加拿大患者在接受了为期九周的密尔沃基协议治疗后不幸去世。尸检时观察到大脑皮层神经元完全丧失,并且在脑干和小脑皮层中发现了狂犬病病毒抗原的阳性染色[82]。一些作者提出,最初的病人可能被一种尚未确定的减毒蝙蝠病毒变种感染,可能只有有限量的接种物,而协议并未对结果有所贡献。诱导昏迷并不是一个可靠的做法,已知在狂犬病或其他中枢神经系统感染中没有治疗效果,并且在最近版本的协议中已不再推荐[11,20,59,63]。
由于狂犬病病毒引起严重的神经元功能障碍但相应的神经元细胞病理损伤很少,理论上狂犬病脑炎的临床特征应该是可逆的。这将需要病毒的清除和发展出保护性免疫反应[60]。然而,自然感染在人类中很少能引发保护性免疫反应。[8] 此外,人类狂犬病疫苗是灭活的,不会引发细胞毒性T细胞反应,而这是用活减毒或重组狂犬病疫苗给动物接种时观察到的,对病毒清除很重要,同时还有助于B细胞和TH细胞的激活。能够引发强烈细胞毒性T细胞反应的实验疫苗正在进行临床前测试,未来可能会提供治疗选择[11,50]。由于细胞毒性T细胞激活导致的神经元损伤的固有风险仍然令人担忧。通过用活减毒病毒株的再感染来诱导保护性免疫反应可能有助于抗击野生型感染,通过诱导针对狂犬病毒的特异性免疫效应物,将其靶向中枢神经系统组织并增强血脑屏障的通透性。使用TriGAS病毒株接种疫苗可以清除狂犬病毒,并预防几天前接种了致死剂量强毒狂犬病毒的小鼠死亡。脑内接种比外周给药更有效,这强调了迅速将免疫效应细胞靶向中枢神经系统的重要性[27,88,89]。将活减毒疫苗与能够穿过血脑屏障的抗体进行被动免疫的组合可能代表着希望,用于狂犬病的后期预防甚至早期免疫治疗[11,27]。
与在治疗狂犬病脑炎方面无效的多克隆人干扰素受体γ链(hRIG)不同,已显示在临床症状出现前给予单克隆抗体可以在啮齿类动物模型中清除实验性狂犬病毒感染的中枢神经系统(CNS),使实验感染的老鼠存活。这表明将来使用单克隆抗体(最好是人类或人源化小鼠抗体)治疗可能会证明是有效的[90]。最近的一项研究报告称,结合使用高渗阿拉伯糖的单克隆抗体来破坏血脑屏障(BBB)可以延长狂犬病老鼠的存活时间[91]。可以通过超声波或微泡、诱导中枢神经系统炎症反应、给予如甘露醇这样的高渗药物或分子“特洛伊木马”来输送治疗剂穿过血脑屏障,或者通过下调紧密连接表达来非特异性地破坏血脑屏障;并允许免疫效应器到达实验动物的感染大脑[11,27,37,59,92]。直接穿过血脑屏障向感染的中枢神经系统注射特定免疫效应器可能具有治疗价值[27]。诱导中枢神经系统自身免疫反应可以将特定免疫效应器输送到中枢神经系统,并已从致死性的实验性狂犬病感染中拯救了小鼠,但这种方法固有的致病性是限制其临床应用的一个重大关注点[37]。然而,免疫系统不太可能在加速狂犬病致命过程中发挥作用[48]。广义或局部脑冷却是其他有前景的治疗选择[11,93]。
6. 狂犬病存活情况:已报告病例的影响
如表2所示,迄今为止报告的十二例狂犬病幸存者中,七例接受了暴露前预防(一例)或暴露后预防(PEP)。除了我们的患者外,没有其他人接受过人狂犬免疫球蛋白(hRIG)。另一名患者在出现症状后被给予一剂疫苗和人狂犬免疫球蛋白,随后确诊为狂犬病。两名患者在临床症状出现前只接种了一剂疫苗。这些患者中没有表现出典型的狂暴型狂犬病的迹象,尽管除了一例外都需要重症监护,且有相当比例(12例中的4例)留下了严重的神经系统后遗症。在八例有轻度到中度后遗症的患者中,有五例未接种疫苗。包括四名未接受PEP的四名患者在内,十二名患者中有十名在血清和脑脊液中显示出高滴度的抗体,并且只有两名患者的狂犬病毒RNA可检测到。这与犬狂犬病通常的情况形成对比,后者<19%的患者在血清中有可检测的抗体,而脑脊液中缺乏中和抗体,这表明免疫系统未能识别感染并产生中和抗体[7,11,59,63]。免疫介导的病毒清除似乎是存活的前提条件,正如表2中所示的患者以及在动物研究中所见[50,63]。可以与麻痹性狂犬病做一个类比,在麻痹性狂犬病中,更好的免疫反应和较低的病毒载量与更长的存活率相关,而不是狂暴型。[11]有一名患者被判断为流产的人类感染案例,这是迄今为止唯一报告的案例。[16]异常的是,她的脑脊液抗体滴度较低。在另一位未产生中和抗体的幸存者身上也发现了低狂犬病特异性抗体滴度。[17]这些患者可能感染了毒力较弱的病毒亚型,或者由于免疫系统功能的固有差异,表现出较少的明显免疫刺激。
直到最近,抗体检测才开始被考虑,因为其潜在的评估康复机会的能力,特别是当未检测到病毒RNA时。[12,17]临床表现为存在中和性抗狂犬病病毒抗体很可能是有利的实验室发现,表明免疫反应可能会取代患者的死亡。[7]检测出狂犬病病毒抗原或RNA的阴性测试也可能是有利的,因为它们可能反映了离心式病毒扩散的阻断或免疫系统的有效病毒清除。[59]此类患者可能从重症监护中获得更好的结果。[4,10]表2中的十二名患者中有四名使用了密尔沃基协议(案例2、4、6和7)。其中两人未接种疫苗,一人仅接种了一剂疫苗,三名患者(包括接受了全疗程预防性疫苗接种的案例6)有强烈的免疫反应,并伴有高中和性抗体滴度。据报道,所有四名幸存者均有良好的神经学结果。在未接受该治疗的三个同时代幸存者中,有一人预后不良(病例1)。
由于大多数幸存者体内无法检测到病毒抗原或RNA,人们怀疑他们实际上患的是疫苗接种后脑炎而非狂犬病[10]。然而,血清和脑脊液中的高滴度抗体以及显示的鞘内抗体合成[8,15,18],反驳了这一观点。感染这些患者的病毒可能已经生物减毒,或者具有不同的细胞趋向性。由于大多数幸存者体内未分离出病毒,这一点仍然只是推测。宿主因素可能影响病毒传播,从而带来更有利的结果。实验室研究还表明,接种病毒剂量和给药途径在结果中起着重要作用[5]。
总之,本文总结的少数狂犬病幸存者并不影响它仍是一种几乎普遍致命的疾病,大多数受害者痛苦地死去这一事实。然而,这些特殊的幸存者证明了病毒可以从人类中枢神经系统中有效清除,这与关于犬和蝙蝠狂犬病动物模型的研究结果一致。人们急切期待着有效的治疗策略,很可能是结合免疫调节和某种化疗形式的联合疗法。
作者利益冲突声明
作者确认没有利益冲突。
参考文献
https://www.jns-journal.com/article/S0022-510X(14)00099-9/abstract
Hits: 222
- 狂犬病(2025年6月更新)
- 狂犬病 你应该知道的
- 预防和治疗狂犬病的狂犬病疫苗
- 狂犬病可能成为历史
- 看看每种疫苗:狂犬病疫苗
- 阿拉巴马州妇女在从车上卸下杂货时被狂犬病狐狸咬伤:“公共卫生威胁”
- 应对狂犬病
- 全球疫苗免疫联盟将促进全球疫苗免疫联盟、世卫组织和阿联酋50多个国家获得拯救生命的人类狂犬病疫苗
- 美国CDC发布了将狗带入美国的新规定,旨在防止狂犬病
- 全国狂犬病监测方案
- 2024年东帝汶首例狂犬病确诊病例
- WHO实况报道 狂犬病
- 狂犬病
- 狂犬病疫苗接种:给医疗保健提供者的信息
- 特定感染的流行病学和控制:狂犬病
- 狂犬病疫苗接种的注意事项或禁忌症
- ACIP 使用减少(4剂)疫苗计划进行暴露后预防以预防人类狂犬病
- 实施良好的狂犬病暴露后预防方案
- ACIP 使用修改后的暴露前预防疫苗接种计划预防人类狂犬病,美国,2022年
- 西班牙犬类狂犬病免疫保护的影响因素
- 减少犬的进口等待期-对狂犬病恐惧科学合理的变化
- 老年人对狂犬病暴露后预防无应答:挑战和方法
- 狂犬病疫苗的效力、免疫原性和有效性:体外和体内方法
- 狂犬病人免疫球蛋白 (HRIG)
- “震惊”的妇女,超过6,000美元的救命狂犬病治疗账单
- 负鼠感染狂犬病毒对这种病毒在城市环境中的传播敲响了警钟
- 索马里蜜獾感染未报告的首例疑似人狂犬病病例研究
- 两名狂犬病研究人员解释如何保护自己免受这种疾病的侵害
- 临床医生常见的狂犬病问题
- 狂犬病疫苗
- 世界卫生组织关于狂犬病的常见问题
- 狂犬病实况报道
- 狂犬病
- 狂犬病是一种古老的、不可预测的、可能致命的疾病——两位狂犬病研究人员解释了如何保护自己
- 狂犬病疫苗短缺:给卫生专业人员的建议
- 7例被狂犬咬伤者接种狂犬病疫苗的效果观察
- 全球狂犬病风险:狂犬病疫苗短缺期间的实用建议
- 巴西一个土著村庄被蝙蝠掠夺的高风险:警告狂犬病在马卡利人中重新出现
- 评估在澳大利亚蝙蝠狂犬病病毒和狂犬病暴露后预防中血清学的益处
- 蝙蝠处理者的狂犬病暴露前预防
- 基于狂犬病中和抗体水平的狂犬病加强剂时机指南
- 施用狂犬病疫苗和免疫球蛋白
- 为狂犬病暴露后预防开发的单克隆抗体鸡尾酒疗法
- 狂犬病预防处置常见问题解答(成大生物)
- 世界卫生组织狂犬病专家磋商会 第三版报告
- 世卫组织对狂犬病的看法
- 新型狂犬病疫苗
- 狂犬病病毒可以抗强大的天然免疫
- 狂犬病的被动免疫
- 亚洲狂犬病预防
- 秘鲁高风险人群的大规模狂犬病暴露前预防
- 人用狂犬病疫苗
- 野生动物狂犬病疫苗
- 狂犬病和狂犬病疫苗的历史
- 狂犬病的生命周期、传播和发病机制
- 狂犬病暴露后管理指南(英国 2023年1月)
- 2022年印度马哈拉施特拉邦一名幼儿出现临床狂犬病症状后存活
- 第27章:狂犬病
- 狂犬病:问题和答案
- 《狂犬病暴露预防处置工作规范(2023年版)》解读问答
- 狂犬病暴露预防处置工作规范(2023年版)
- 狂犬病
- 狂犬病相关问题解答
- 疾病控制中心加强了对进口狗的狂犬病管理,原因如下
- 关于狂犬病
- 一名加州艺术教师在教室遭遇蝙蝠后死于狂犬病
- WHO 实况报道 动物咬伤 2024年1月
- 疫苗接种和免疫 狂犬病
- 世卫组织推荐皮内途径用于狂犬病暴露后预防
- 狂犬病疫苗:世卫组织立场文件–2018年4月
- WHO实况报道 狂犬病 2024年6月
- 狂犬病-结束忽视, 实现可持续发展目标 被忽视的热带病路线图 2021-2030
- 动物狂犬病
- 宠物主人对疫苗的犹豫越来越多——一位公共卫生专家解释了为什么这很重要
- 兽用狂犬病疫苗
- 何时寻求狂犬病医疗护理
- 猫
- 关于获得人类狂犬病疫苗的社会正义观点
- 评估新的狂犬病暴露后预防(PEP)方案或疫苗
- 卫生和福利部-狂犬病
- 狂犬病暴露后预防用单克隆抗体开发的最新进展:临床开发管线现状综述
- 世卫组织对狂犬病免疫接种的立场 – 2018 年最新情况
- 恐水症:1874 年的狂犬病和改变一切的救命疫苗
- 新的人类狂犬病疫苗正在研发中
- 为什么消除狂犬病?
- 为什么现在要根除狂犬病?
- 狂犬病-NFID
- 为狗接种疫苗 – 它们不会因接种疫苗而患上自闭症
- 宠物主人版 狗的狂犬病
- 猫的狂犬病
- 狂犬病-国际脑炎协会
- 器官移植后如何感染狂犬病?
- 器官移植患者感染狂犬病后死亡
- 人类狂犬病疾病负担:Rabipur®疫苗的潜在预防作用
- 印度东北部农村的狂犬病:强调同一健康方法紧迫性的病例报告
- 狂犬病毒糖蛋白的深度突变扫描确定了突变限制和抗体逃逸突变
- 人类狂犬病:一种治疗方法
- 通过受感染狗唾液污染的隐形眼镜传播狂犬病病毒(病例报告)
- 越南暴露前预防计划中基于灭活 vero 细胞的狂犬病疫苗 (Rabivax-S) 的安全性和免疫原性
- 狂犬病生物制剂在 III 类动物暴露儿科患者中的安全性和临床疗效的前瞻性研究
- 重复狂犬病疫苗接种揭示人类中和抗体的分子趋同
- 狂犬病病毒的感染和预防
- 关于 Zagreb 或 Essen 方案后加强疫苗接种的免疫原性和安全性的 3 期临床试验
- 通过 RABV-G 结构域筛选和异源初免-加强免疫优化狂犬病 mRNA 疫苗功效
- 狂犬病实验室诊断的最新情况
- 三色蝠相关狂犬病毒引起的一例人狂犬病的报道
- 一种核苷修饰的狂犬病mRNA疫苗在小鼠和非人灵长类动物中诱导出持久而全面的免疫反应
- 狂犬病的识别和治疗:病例报告和讨论
- 人类狂犬病的诊断困难:病例报告和文献回顾
- 狂犬病感染的边缘系统症状
- 狂犬病脑炎的生存率
- 人类狂犬病:2016年更新
- 突尼斯一名狂犬病幸存儿童:病例报告
- 肯尼亚蝙蝠携带的Duvenhage病毒导致人类狂犬病死亡:昏迷诱导、氯胺酮和抗病毒药物治疗无效
- 病例报告:狂犬病幸存者长期随访中的神经功能恢复与血清学反应
- 蝙蝠和食肉动物中狂犬病的比较病理学及其对人类溢出影响
- 病例报告:狂犬病生存者:印度病例系列
- 评估人类抗狂犬病疫苗的反应:一种快速、高通量适应性、基于假病毒的中和试验,作为快速荧光病灶抑制试验 (RFFIT) 的替代方案
- 病例报告:狂犬病幸存者长期随访中的神经功能恢复与血清学反应
- 巴西巴伊亚州狂犬病爆发的流行病学与分子分析
- 俄罗斯下诺夫哥罗德地区动物狂犬病(2012-2024年):描述性与预测性流行病学分析
- 巴西东南部一只黑鼠耳蝠(黑鼠耳蝠属物种Myotis nigricans)感染狂犬病病毒、科勒巴尔通体菌以及婴儿利什曼原虫的混合感染情况
- 2013-2023 年悉尼大都会居民狂犬病暴露后治疗:回顾性病例系列分析
- 用肌肉靶向脂质纳米颗粒配制的狂犬病病毒 G 蛋白 mRNA 在小鼠体内的免疫原性
- 关于狂犬病的 One Health Lens:马拉维利隆圭农村狂犬病病毒的人类-蝙蝠相互作用和基因组见解
- 阿根廷低地貘 (Tapirus terrestris) 麻痹狂犬病的首次报告
- 由表达狂犬病糖蛋白的非复制型病毒载体痘苗病毒天坛株改良株(MVA)和腺病毒5型(Ad5)所诱导产生的对狂犬病的保护作用
- 印度野生猫科动物中狂犬病毒的免疫病理与分子筛查:揭示从野外到城市的溢出效应
- 韩国貉 (Nyctereutes procynoide koreensis) 接种了含有 ERAGS-GFP 毒株的新型狂犬病诱饵疫苗的保护性抗体反应
- 宠物护理 疫苗
- 为您的宠物接种疫苗
- 狂犬病感染:如何保护您的孩子
- 新型狂犬病暴露后预防单克隆抗体鸡尾酒疗法的安全性和耐受性
- “愤怒的狂犬病”人类图画案例
- 蝙蝠咬伤
- 研究蝙蝠病毒如何帮助预防人畜共患疾病
- 狂犬病:症状繁多、宿主广泛的恶魔病毒——罗德尼·罗德解读
- 狂犬病的同一健康:不仅适用于动物
- 狂犬病和蛔虫:浣熊相关传染病
- 丽莎病毒 很罕见,但致命。如果蝙蝠咬你怎么办?
- 海地在四个省开展新的疫苗接种运动,加强防治犬类狂犬病
- 家养及其他动物狂犬病病毒感染的挑战:病毒学层面的困惑、惊愕、懊恼与好奇交织
- 双重战斗:狂犬病和蛇咬伤在东南亚的毒害
- 狂犬病在城市无人管理的猫群中爆发 — 马里兰州,2024 年 8 月
- 尼泊尔正力争在2030年前消灭狂犬病,但领导人表示,现在是加大疫苗投资的时候了。
- 现代狂犬病疫苗的诞生历程
- 一种基于mRNA的新型狂犬病病毒多表位疫苗:通过反向疫苗学和免疫信息学进行计算机设计
- 快速荧光灶抑制试验(RFFIT)的验证与评价 —— 作为狂犬病疫苗相对效价间接检测方法的中和抗体定量检测:NIH 试验的替代方案
- 暴露后狂犬病预防失败案例研究
- 2021年明尼苏达州一起经确认的人畜共患病暴露后,疑似因宿主介导导致暴露后预防失败的致命人类狂犬病感染病例
- 给野生动物投喂疫苗:口服狂犬病疫苗的故事
- 降低肯尼亚西部臭名昭著的狗市狂犬病风险
- 印度的狂犬病
- 海地的狂犬病
- 2024年10月至2025年2月,美国发生通过实体器官移植传播狂犬病的病例,该器官移植供体未确诊患有狂犬病
- 两例死亡与狂犬病感染的肾移植有关
- 明尼苏达州一家奶牛场的牛群中爆发狂犬病聚集性疫情——2024年
- 摩洛哥的狂犬病
- 2024年肯塔基州和俄亥俄州输入性人类狂犬病病例
- 2024年明尼苏达州和加利福尼亚州人类狂犬病死亡人数
- 反疫苗人士对宠物狂犬病 RNA 疫苗的虚假宣传
- 新型口服狂犬疫苗能否帮助我们最终终结这种疾病?
- NACI 2026 年 1 月 30 日发布的声明摘要:狂犬疫苗用于暴露前预防 (PrEP) 的最新指南
- 狂犬疫苗的给药途径:数据比较
- 猫会得狂犬病吗?
- 2022-2024年中欧狂犬病疫情再度出现
- 研讨会报告:改进狂犬病血清学方法和程序的标准化
