PROFESSIONAL VERSION
Leptospirosis in Dogs
专业版狗容易受到许多钩端螺旋体血清型的感染,钩端螺旋体病的临床症状从轻微的亚临床感染到急性肾损伤、呼吸系统疾病或死亡不等。诊断包括血清学检测和组织、血液或尿液中钩端螺旋体的鉴定。多西环素是用于治疗狗的主要药物,以及适当的支持性护理。多价疫苗可用于预防。地理区域的特定血清型各不相同,因此应使用适当类型的疫苗。因为它是一种人畜共患疾病,所以临床医生必须对钩端螺旋体病保持警惕,并应了解其不同的临床表现。
狗钩端螺旋体病是一种由钩端螺旋体属细菌引起的传染病。
狗是钩端螺旋体 cerogens 血清型 Canicola 的维持宿主,在广泛的疫苗接种计划之前,血清型 Canicola 和 Icterohaemorrhagiae 是美国狗中最常见的血清型。在过去的几十年里,犬血清型的患病率发生了显着变化,导致狗患病的血清型可能会因地理区域和宿主的存在而异。不幸的是,目前对导致狗自然疾病的血清型的理解受到很少分离钩端螺旋体这一事实的限制;因此,迄今为止的研究都依赖于血清学数据。
不幸的是,血清学检测的结果(使用显微镜凝集试验 [MAT])并不能可靠地预测钩端螺旋体病狗(或人类)的感染血清型;因此,在大多数情况下,真正的感染血清型是未知的。然而,导致狗患病的血清型很可能是在当地野生动物中传播的血清型。
了解狗的感染血清型对于流行病学研究和疫苗开发至关重要;对于管理个体病例的临床医生来说,它不太重要。
目前尚不清楚特定血清型是否与狗钩端螺旋体病的特定临床体征相关,也没有已发表的证据来指导基于血清型鉴定的治疗。然而,对于兽医来说,保持对钩端螺旋体病的高度怀疑非常重要,因为这是一种人畜共患疾病,在狗中具有广泛的临床表现。任何年龄、品种或性别的狗都易患钩端螺旋体病,不应根据信号或生活方式排除诊断。犬钩端螺旋体病不仅限于大型犬、公犬或以户外生活方式为主的狗。
狗钩端螺旋体病的临床体征和检测结果
近年来,急性肾损伤一直是犬钩端螺旋体病最常见的表现。受钩端螺旋体病影响的狗可能会出现临床症状,包括嗜睡、厌食、呕吐、腹痛以及多尿、少尿或无尿。
血清生化或血清血气分析可能显示异常,例如氮质血症、高磷血症、代谢性酸中毒、低钠血症以及低钾血症或高钾血症。
尿液分析可能显示异常,例如低尿、等肾沉尿或最低浓度;蛋白尿;糖尿(血糖正常);圆柱尿症;血尿;或脓尿。
在急性肾损伤中幸存下来的狗可能会恢复到基线或发展为慢性肾病。对于任何先前诊断为慢性肾病并发展为慢加急性肾损伤的狗,也应考虑钩端螺旋体病。
在一些患有钩端螺旋体病的狗中也观察到没有氮质血症的多尿和烦渴,这可能是肾源性尿崩症的结果。钩端螺旋体病也可能与肾小管性酸中毒有关。
急性肝病可能伴随着钩端螺旋体病狗的急性肾损伤,也可以单独发生。 临床症状可能包括黄疸、呕吐、厌食和嗜睡。
由 Katharine F. Lunn 博士友情提供。
血清生化分析可能显示以下异常:
碱性磷酸酶 (ALP) 活性增加
ALT 活性增加(通常小于 ALP 活性增加)
胆红素浓度升高
患有钩端螺旋体病的狗可能会出现肌肉疼痛、僵硬、虚弱、颤抖或不愿移动。这些体征可能是血管炎、肌炎或肾炎的结果。肌痛常见于人类钩端螺旋体病,与该病的败血症期有关。
犬钩端螺旋体病不太常见的表现包括出血性疾病,怀疑是由血管炎引起的。 临床体征可能包括瘀点出血、鼻出血、黑便和呕血。FBC 可能显示轻度至中度血小板减少症(不严重到导致自发性出血)。凝血试验可能显示纤维蛋白降解产物增加、凝血酶原时间 (PT) 延长或活化部分凝血活酶时间 (aPTT) 延长。
肺出血现在是人类钩端螺旋体病暴发中最常见的临床体征之一。这在犬钩端螺旋体病中不太常见;然而,在许多受影响的狗中发现了咳嗽或呼吸困难或放射学异常。
葡萄膜炎是狗钩端螺旋体病的一种罕见表现。它似乎很少与实验性犬钩端螺旋体病相关;然而,存在罕见的病例报告。
钩端螺旋体病狗报告的其他临床症状包括呕吐、腹泻、体重减轻、发烧、体温过低、眼鼻分泌物、淋巴结肿大、积液和水肿。
其他非特异性 FBC 变化可能包括中性粒细胞增多、淋巴细胞减少、单核细胞增多症或轻度贫血。
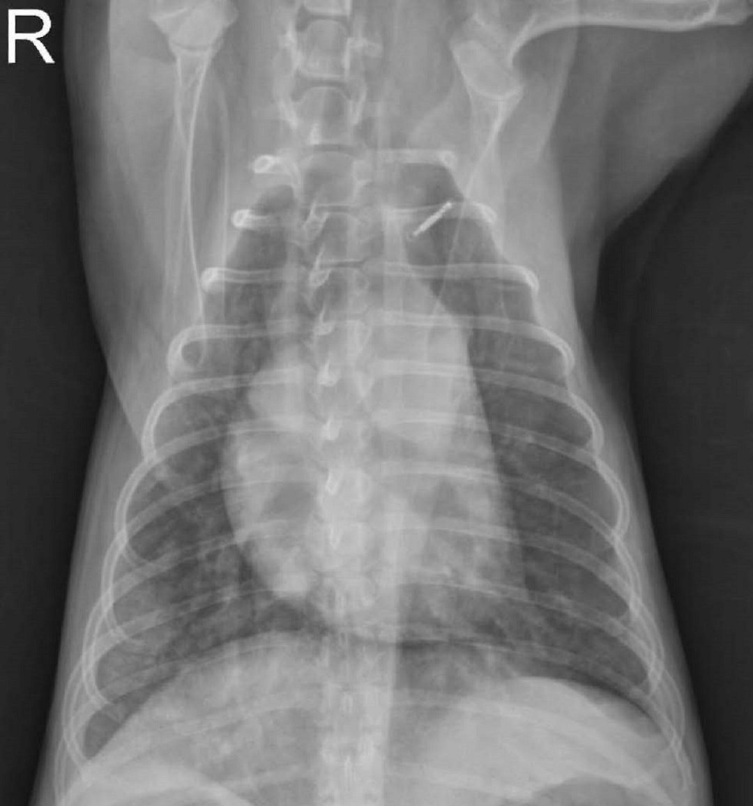
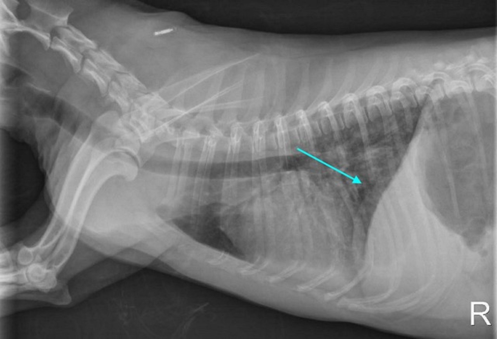
胸部 X 线片可能显示弥漫性或尾背网状结节性肺混浊,可能是由于肺出血。 腹部 X 线片可能正常,也可能显示肾肿大或肝肿大。
由 Katharine F. Lunn 博士友情提供。
由 Katharine F. Lunn 博士友情提供。
由 Katharine F. Lunn 博士友情提供。
腹部超声检查发现的变化 可能包括肾肿大、肺急、皮质或髓质回声增加、肾周积液、高回声肾髓带、肝肿大、低回声肝脏、胆囊异常或腹部积液或水肿。这些变化对钩端螺旋体病不具有特异性,没有这些发现并不能排除诊断。
大体尸检结果可包括黄疸、积液以及任何器官、胸膜或腹膜表面的瘀点或瘀斑性出血。肾脏和肝脏可能肿大,肺可能潮湿、沉重和变色。肝脏通常易碎,小叶图案突出,并可能呈黄棕色变色。肾脏的包膜下表面可能有白色病灶。肝脏的显微镜检查结果可能包括轻度随机肝细胞坏死、非化脓性肝炎和肝内胆汁淤滞,而肾脏可发生肾小管上皮细胞肿胀、肾小管坏死和混合炎症反应。
狗钩端螺旋体病的诊断
结合以下发现:急性氮质血症、胆汁淤积性肝病、轻至中度血小板减少症和血糖正常的糖尿
血清学检测检测抗体,结合 PCR 检测微生物
应根据动物的疫苗接种史、临床体征和临床病理结果解释所有诊断性检查的结果。表 用于诊断狗钩端螺旋体病的测试比较 总结了目前可用的测试及其优缺点。建议将急性期和恢复期 MAT 滴度与血液(疾病早期)或尿液(疾病晚期)的 PCR 检测相结合。
狗钩端螺旋体病的治疗
支持性治疗,联合特异性抗菌治疗
多西环素可消除钩端螺旋体血症期和携带期感染
急性肾损伤和肝病的支持措施可能包括:液体治疗,必要时补充电解质;纠正酸碱平衡紊乱;止吐药;磷酸盐结合剂;肝脏支持药物;或食欲兴奋剂。
对于尽管进行了适当的支持治疗但仍无尿或少尿的狗,应考虑使用间歇性血液透析或连续肾脏替代疗法的肾脏替代疗法。每当怀疑钩端螺旋体病时,都需要进行抗生素治疗,并且应在获得确认性检查结果之前开始。狗的病例报告有限,但没有实验研究来指导该物种抗菌方案的选择。
目前的建议是用多西环素治疗(5 mg/kg,PO,每 12 小时一次,持续 2 周)。对于不能耐受多西环素的狗,使用青霉素进行初始治疗是合适的;然而,该疗程之后应进行为期 2 周的多西环素治疗,以消除感染的肾载体阶段。恩诺沙星或克拉霉素也可用于消除载体期。最近暴露于钩端螺旋体病的狗可以通过口服多西环素 14 天进行预防性治疗。
狗钩端螺旋体病的预防
在美国,用于狗的商业细菌可用于血清型 Canicola、Icterohaemorrhagiae、Grippotyphosa 和 Pomona。目前尚不清楚接种疫苗的狗是否容易感染其他血清型,尽管有一些实验证据表明存在交叉保护。一般来说,目前可用的疫苗可提供至少一年的良好疾病保护,还可以减少肾脏定植和尿液脱落。对狗接种钩端螺旋体疫苗后的超敏反应存在担忧;然而,在大多数情况下,针对钩端螺旋体(一种可导致致命疾病的生物体)的疫苗接种是安全的,并且研究表明,与其他疫苗接种相比,超敏反应没有显着增加。不良反应可能与使用更高纯度的疫苗有关。之前建议每 6 个月接种疫苗的建议也不再合理。
引用
Yao PJ、Stephenson N、Foley JE 等人。 对接受或未接种钩端螺旋体疫苗的狗接种疫苗后主人报告的不良事件的发生率和风险因素。J Am Vet Med Assoc. 2015 年 11 月 15 日;247(10):1139–45.doi:10.2460/javma.247.10.1139。
狗钩端螺旋体病的人畜共患风险
由于钩端螺旋体病是一种人畜共患疾病,因此所有兽医人员在处理已知或疑似受感染的动物时都应采取适当的预防措施。这样的狗不需要被隔离;但是,应采取屏障预防措施来护理它们,特别注意避免皮肤或粘膜接触尿液或血液。应允许受感染的狗在指定区域小便,随后可以进行清洁和消毒。这些微生物被所有常用的消毒剂杀死。最近被诊断患有犬钩端螺旋体病的狗的主人应了解该疾病的人畜共患性质,如有任何健康问题,请联系他们的医生。主人在清理尿液时应戴上手套,并在处理狗后应洗手,至少在抗菌治疗过程完成之前。
要点
钩端螺旋体病是一种人畜共患疾病,见于多种野生和家养物种,包括狗,通常通过直接接触受感染宿主的尿液或其他体液传播,但如果条件合适,尿液的环境污染会导致传播。
诊断是通过血清学检测以及一种或多种方法来识别组织或体液中的微生物。
首选的治疗方法是多西环素,并根据需要给予适当的支持性治疗。其他抗菌药物,如恩诺沙星,也可能有效。疫苗可用于预防。应使用包含当地流行血清型的多株疫苗。
人畜共患感染并不常见;然而,职业暴露是一个危险因素。主要传播途径是接触传染性体液。
更多信息
赛克斯 JE、哈特曼 K、伦恩 KF、摩尔 GE、斯托达德 RA、戈德斯坦 RE。 2010 年 ACVIM 小动物钩端螺旋体病共识声明:诊断、流行病学、治疗和预防。J Vet 实习医学 2011;25(1):1-13.doi:10.1111/j.1939-1676.2010.0654.x
Schuller S、Francey T、Hartmann K 等人。 关于狗和猫钩端螺旋体病的欧洲共识声明。J Small Anim Pract. 2015 年;56(3):159-179.doi:10.1111/jsap.12328
Murillo A, Goris M, Ahmed A, Cuenca R, 牧师, J. 猫钩端螺旋体病:指导诊断和管理的当前文献综述。J Feline Med 外科杂志 2020;22(3):216-228.doi:10.1177/1098612X20903601
另请参阅有关狗钩端螺旋体病的宠物健康内容。
Hits: 176




